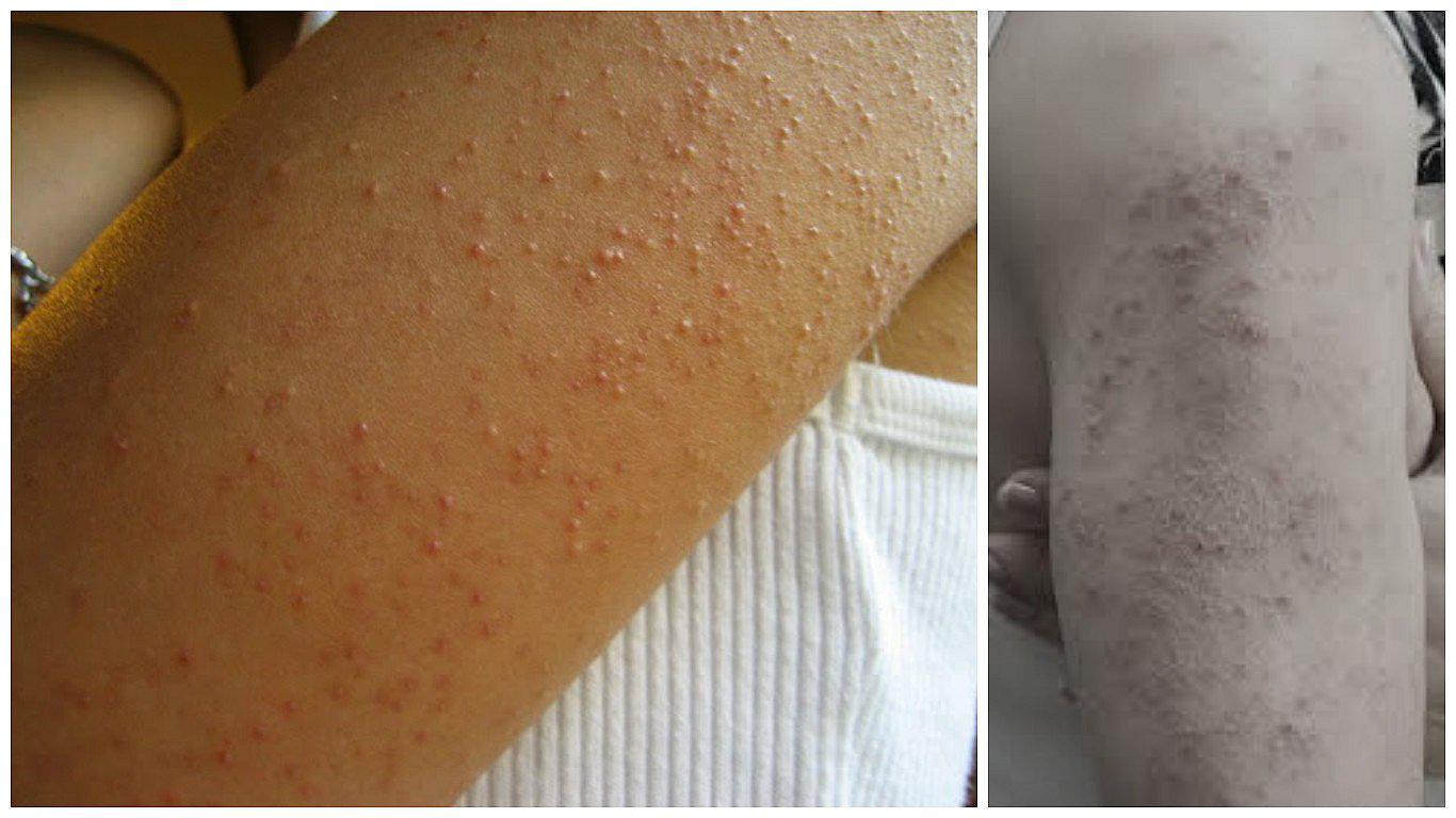
Muchas personas presentan granos en los brazos y tratan de eliminarlos, equivocadamente, al apretarlos hasta que revienten. Esta solución es solo temporal pues deben ir a la real causa del problema: la alimentación.
Los granos en los brazos son una señal de la intolerancia al gluten. Por ello, las personas que sufren de esta condición deben reducir las cantidades de gluten en sus comidas, o en el más radical de los casos, eliminarlo de su dieta definitivamente.
Otras de las señales que presentan las personas intolerantes al gluten son dolores estomacales después de consumir alimentos ricos en gluten, sequedad de la piel, fatiga y mal humor originado por el malestar sentido en los intestinos.
Un problema más grave al comer alimentos hechos a base de gluten cuando sufre de intolerancia es que el revestimiento del intestino delgado se daña y debilita, haciendo que se reduzca la absorción de minerales y vitaminas.
Según la Diabetes Association, el gluten lo podemos encontrar en el trigo, centeno, cebada y cualquier otro alimento hecho con estos granos.
Otros alimentos que contienen gluten son:
- Harina Blanca
- Trigo Candeal
- Harina de Graham
- Trigo Kamut
- Espelta
- Germen de Trigo
- Salvado de Trigo
- Pasta
- Cuscús
- Pan
- Tortillas de Harina
- Galletas
- Muffins
- Bollos de pan (biscochuelos)
- Pastelitos
- Cereales
- Galletas integrales
- Cervezas
- Avena (vea la seccion de Avena abajo)
- Salsa de jugo de carne
- Aliños
- Salsas
- caldos en sopas y cubitos de sopa concentrados
- pan rallado y crutones
- alimentos fritos
- imitación de pescado
- jamonadas y hot dogs
- matzo
- la mayoría de papitas fritas y caramelos
- aliños para ensaladas
- pavo en su jugo
- salsa de soya
- arroz y pastas variadas
Fuente: Diabetes Association

:quality(75)/arc-anglerfish-arc2-prod-elcomercio.s3.amazonaws.com/public/JX5V4M7FJFED7GTKGAKRC7XQSI.jpg)
